Kongres Akademii po Dyplomie Pediatria 2026 👉 200 zł taniej do 27.02. Spotkajmy się 17-18 kwietnia w Warszawie | Skorzystaj z oferty >
Diagnostyka tk, mr
Pierścień naczyniowy u pacjentki z izby przyjęć – opis przypadku
Magdalena Zagrodzka,1 Bożydar Sambor2
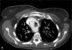
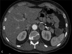
RYCINA. Badanie wykonane 64-rzędowym tomografem komputerowym jednolampowym. Akcja serca podczas badania – 87 uderzeń/min.
Zakres badania – cała klatka piersiowa. [A] Rekonstrukcja VR uwidoczniła prawostronny łuk aorty. [B] Warstwa poprzeczna na poziomie łuku aorty. Widoczne są: niepełny pierścień naczyniowy otaczający tchawicę i przełyk utworzony przez łuk aorty i tętnicę podobojczykową lewą otaczającą tchawicę i przełyk (strzałki). Ściana tętnicy podobojczykowej zawiera blaszki miażdżycowe zwężające jej światło 40%. [C] Warstwa poprzeczna na poziomie nadnercza lewego – widoczny guzek nadnercza lewego (strzałka). [D] Rekonstrukcja VR uwidoczniła prawostronny łuk aorty z częściowym pierścieniem naczyniowym.
Pięćdziesięciosześcioletnia kobieta została skierowana do SOR Szpitala Wielospecjalistycznego w Legnicy z powodu pogorszenia kontaktu, zaburzeń równowagi i afazji całkowitej. Została przyjęta w trybie pilnym na oddział neurologii z podejrzeniem udaru mózgu. W wywiadzie ustalono, że chora przebyła w przeszłości udar niedokrwienny mózgu pod postacią afazji ruchowej i endarterektomię prawej tętnicy szyjnej wewnętrznej oraz miała niedrożną lewą tętnicę szyjną wewnętrzną.
W badaniu fizykalnym na oddziale SOR stwierdzono tachykardię (90 uderzeń/min) i duszność, osłuchowo szmer pęcherzykowy był prawidłowy. Wyniki badań laboratoryjnych nie wykazały znamiennych odchyleń od normy.
Na podstawie badań oraz z powodu podejrzenia zatorowości płucnej (duszność) zlecono wykonanie badania angio-TK klatki piersiowej z bramkowaniem EKG w celu diagnostyki układu krążenia w obrębie klatki piersiowej z oceną tętnic wieńcowych.
W badaniu uwidoczniono natomiast:
- prawostronny łuk aorty (rycina A),
- brak pnia ramienno-głowowego z izolowanym odejściem tętnicy podobojczykowej prawej i tętnicy szyjnej wspólnej,
- zwężenie 40% tętnicy podobojczykowej lewej w odcinku proksymalnym za jej odejściem od łuku aorty; tętnica otaczająca tchawicę wzdłuż jej przedniej ściany tworzyła wraz z prawostronnym łukiem aorty niepełny „pierścień” (rycina B),
- guzek nadnercza lewego o morfologii gruczolaka, bogatolipidowej strukturze o wymiarach 30 × 20 mm (rycina C).
Wykluczono zatorowość płucną oraz chorobę wieńcową.
Naczyniowa wada rozwojowa uwidoczniona w badaniu TK w konsekwencji była powodem poszerzenia diagnostyki różnicowej. Z uwagi na stan chorej (afazja całkowita) nie można było jednoznacznie określić, na ile ta wada rozwojowa jest przyczyną dolegliwości klinicznych, np. dysfagii – spotykanej typowo w przebiegu wad naczyniowych łuku aorty przebiegających z tworzeniem pierścieni wokół tchawicy i przełyku.
Pierścień naczyniowy (rycina D) obejmuje pełną lub częściową obręczą najczęściej przełyk i tchawicę. W obu przypadkach wystąpienie objawów jest identyczne i nie zależy od tego, czy jest to pierścień pełen, czy częściowy.
Pierścienie naczyniowe niepełne tworzone są najczęściej przez:
- tętnice podobojczykowe,
- anomalie pnia ramienno-głowowego,
- nieprawidłowy układ łuku aorty i anomalie przebiegu tętnicy międzyżebrowej.
Nieprawidłowy przebieg tętnicy podobojczykowej określany jest jako tętnica błądząca – od aberrant (ang.). Najczęściej jednak stosowana jest nazwa łacińska arteria lusoria dotycząca pozaprzełykowego przebiegu tętnicy podobojczykowej lewej lub prawej.
Uwagi praktyczne radiologa
1. Jeśli szpital, w którym Państwo pracujecie, dysponuje 64-rzędowym tomografem komputerowym, jest możliwość wykonywania u każdego pacjenta z izby przyjęć badań naczyniowych klatki piersiowej bramkowanych zapisem EKG. Aby takie badanie było wykonalne, niezbędne jest wgranie oprogramowania umożliwiającego wykonanie badań kardiologicznych oraz podłączenie dostarczanego w zestawie z tomografem komputerowym monitora EKG.
Dobra wiadomość jest taka, że większość polskich 64-rzędowych tomografów ma takie oprogramowanie.
2. Badanie bramkowane EKG klatki piersiowej ma przewagę nad zwykłym badaniem klatki piersiowej. Wysoka rozdzielczość obrazów przekłada się na:
• możliwość uwidocznienia 1-2 mm skrzeplin w łożysku płucnym w przebiegu zatorowości,
• ocenę ściany i światła tętnic wieńcowych (potwierdzenie lub wykluczenie choroby wieńcowej),
• ocenę pomostów wieńcowych żylnych i tętniczych na całym ich przebiegu,
• wykluczenie lub potwierdzenie rozwarstwienia w ścianie aorty piersiowej, co nie jest często możliwe w badaniu z artefaktami ruchowymi bez bramkowania EKG,
• ocenę zrębu płucnego.
3. Badanie TK bramkowane EKG z izby przyjęć należy zlecać przy:
• bólu w klatce piersiowej o niejednoznacznym pochodzeniu przy prawidłowych lub granicznych wynikach badań dodatkowych,
• podejrzeniu zatorowości płucnej,
• podejrzeniu dysfunkcji pomostu wieńcowego,
• podejrzeniu patologii aorty piersiowej.
4. Badanie bramkowane zawsze naraża pacjenta na wyższą dawkę promieniowania X w porównaniu z badaniem TK niebramkowanym (informacje o dawkach zawarte są w sierpniowym numerze Kardiologii po Dyplomie z 2011 roku [Kardiol Dypl 2011; 10(8): 80]), należy zatem rozważyć wykonywanie tego badania u osób młodych. Jednak jeśli zsumujemy dawki, jakie otrzyma pacjent po wykonaniu scyntygrafii i koronarografii, aby wykluczyć zatorowość i chorobę wieńcową, wówczas tomografia komputerowa staje się wybitnie konkurencyjną metodą pod względem ochrony radiologicznej pacjenta.



