Kongres Akademii po Dyplomie Pediatria 2026 👉 200 zł taniej do 27.02. Spotkajmy się 17-18 kwietnia w Warszawie | Skorzystaj z oferty >
Objawy neurologiczne w najczęstszych chorobach endokrynologicznych
prof. dr hab. n. med. Marek Ruchała
dr hab. n. med. Ewelina Szczepanek-Parulska
Wiele hormonów oddziałuje na rozwój i prawidłowe funkcjonowanie ośrodkowego układu nerwowego i nerwów obwodowych. Nadczynność i niedoczynność gruczołów dokrewnych są przyczyną licznych objawów neurologicznych. Należą do nich bóle głowy, zaburzenia rozwoju psychomotorycznego, parestezje, zaburzenia widzenia, miopatia, encefalopatia oraz zaburzenia świadomości. W diagnostyce różnicowej przyczyn zaburzeń neurologicznych należy uwzględniać endokrynopatie. Znajomość objawów neurologicznych zaburzeń endokrynnych przyspiesza właściwą diagnozę i wdrożenie leczenia, a co za tym idzie – poprawia rokowanie. Przywrócenie równowagi hormonalnej skutkuje najczęściej wycofaniem symptomów neurologicznych.
Wprowadzenie
Układ nerwowy i dokrewny odpowiadają za utrzymanie ustrojowej homeostazy.1 Na poziomie anatomicznym i funkcjonalnym są one wzajemnie powiązane siecią zależności.2 Nadrzędne narządy dokrewne – podwzgórze i połączona z nim poprzez lejek przysadka położone są wewnątrzczaszkowo, a podwzgórze uznawane jest za część międzymózgowia. Podwzgórze nie pełni funkcji wewnątrzwydzielniczej, a jedynie poprzez produkcję hormonów pobudzających (liberyn) i hamujących (statyn) sprawuje kontrolę nad funkcją wydzielniczą przysadki. Podwzgórze łączy się poprzez lejek z przysadką, która pełni funkcję wewnątrzwydzielniczą, a ponadto produkuje wiele hormonów tropowych sterujących wydzielaniem hormonów kory nadnerczy, gonad i tarczycy. Hormony wydzielane przez komórki nerwowe to neurohormony, a nauka opisująca ich działanie na ustrój to neuroendokrynologia.
Tabela 1. Zestawienie najczęstszych objawów neurologicznych i towarzyszących im chorób endokrynologicznych
Zmiany guzowate tych gruczołów mogą powodować objawy sugerujące guz mózgu, m.in. bóle głowy. Ponadto liczne hormony oddziałują na rozwój i prawidłowe funkcjonowanie OUN i nerwów obwodowych. Nadczynność lub niedoczynność gruczołów dokrewnych wywołują różne objawy neurologiczne (tab. 1).
Guz przysadki
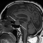
Z uwagi na lokalizację wewnątrzczaszkową w pobliżu skrzyżowania nerwów wzrokowych guzy przysadki (zwłaszcza makrogruczolaki) objawiają się bólami głowy i zaburzeniami widzenia w postaci pogorszenia ostrości widzenia i ograniczenia pola widzenia (głównie niedowidzenie połowicze dwuskroniowe). Rycina 1 przedstawia MR u pacjenta z makrogruczolakiem przysadki. Objawy miejscowe dominują u chorych z nieczynnymi hormonalnie gruczolakami przysadki, podczas gdy w przypadku guzów hormonalnie czynnych często wyprzedzają je objawy związane z nadprodukcją hormonalną. Do najczęściej występujących guzów hormonalnie czynnych należą: guzy wydzielające prolaktynę, hormon wzrostu (GH – growth hormone) lub adrenokortykotropinę (ACTH – adrenocorticotropic hormone).
U pacjentów z gruczolakiem przysadki wydzielającym hormon wzrostu, poza miejscowymi objawami uciskowymi, występują inne objawy neurologiczne. Hormon wzrostu za pośrednictwem insulinopodobnego czynnika wzrostu (IGF1 – insulin-like growth factor 1) działa anabolicznie na tkanki. Na skutek przerostu tkanek miękkich i kości nadgarstka oraz gromadzenia płynu pozakomórkowego dochodzi do ciasnoty w kanale nadgarstka. W wyniku ucisku na nerw pośrodkowy biegnący w kanale rozwijają się objawy zespołu kanału nadgarstka.3 Chorzy skarżą się na bóle i parestezje w obrębie pierwszych trzech palców ręki, nasilające się głównie nocą i w trakcie ruchów w stawie nadgarstkowym. W zaawansowanych przypadkach obserwuje się zaniki mięśniowe kłębu kciuka. Zespół kanału nadgarstka towarzyszący akromegalii występuje najczęściej obustronnie i dotyczy aż połowy pacjentów, choć wykładniki subklinicznej ciasnoty daje się zaobserwować u większości chorych.4-6 W przebiegu akromegalii dochodzi również do zmian w obrębie mięśni (zwłaszcza proksymalnych) w postaci nużliwości i mialgii.7 Zmianom nie towarzyszą jednak wykładniki destrukcji mięśniowej w badaniach laboratoryjnych czy nieprawidłowości w badaniu EMG.8
Jednym ze stanów nagłych w endokrynologii jest krwotok do guza przysadki.9 Dotyczy przeważnie pacjentów z makrogruczolakami przysadki (guzami o średnicy powyżej 1 cm), niezależnie od ich czynności hormonalnej. Związany jest z gwałtownym zwiększeniem objętości zmiany, co znajduje odzwierciedlenie w objawach zgłaszanych przez pacjenta. Powiększający się guz uciska zdrową część przysadki oraz struktury leżące w bliskim sąsiedztwie – skrzyżowanie nerwów wzrokowych i nerwy gałkoruchowe (III, IV i VI). Wtórnie do ucisku może dochodzić do niedokrwienia komórek guza i ich obumarcia. Nierzadko wiąże się to z tzw. samowyleczeniem, czyli ustaniem nadczynności hormonalnej przysadki. Zjawisko to opisywano m.in. u pacjentów z akromegalią.10 Do objawów krwotoku należą: nagły ból głowy, nudności i wymioty, nagła utrata lub znaczne pogorszenie widzenia w postaci niedowidzenia połowiczego dwuskroniowego (ucisk na skrzyżowanie nerwów wzrokowych), podwójnego widzenia (ucisk nerwów gałkoruchowych) lub całkowitej ślepoty.11 Objawy towarzyszącej niedoczynności przysadki rzadko mają charakter ostry i zależą od tego, które z komórek zostały uszkodzone. Niedoczynność w zakresie wydzielania gonadotropin (LH – hormon luteinizujący, FSH – folikulostymulina) objawia się zaburzeniami potencji, utratą owłosienia męskiego i masy mięśniowej (mężczyźni), zaburzeniami cyklu miesiączkowego i mlekotokiem (kobiety) oraz obniżonym libido i niepłodnością (u obu płci). Nieprawidłowości wydzielania gonadotropin sprzyja także wysoki poziom prolaktyny. Nierzadko towarzyszy on nawet nieczynnym hormonalnie makrogruczolakom przysadki. Do podwyższenia stężenia prolaktyny dochodzi na skutek ucisku guza na lejek przysadki. Prowadzi to do zaburzeń transportu dopaminy w obrębie lejka, a co za tym idzie – braku fizjologicznego hamowania wydzielania prolaktyny. Życiu może zagrażać wtórna ciężka niedoczynność tarczycy i/lub nadnerczy. Do pierwszych objawów należą: utrata apetytu, nudności, wahania masy ciała, zmęczenie, spadek ciśnienia tętniczego krwi, brak napędu oraz zaburzenia funkcji poznawczych. Badania laboratoryjne wykazują zaburzenia elektrolitowe (hiponatremia). Podstawę do rozpoznania stanowi ocena przysadki w MR, a jeśli to badanie z wyboru jest niedostępne lub przeciwwskazane – TK przysadki. Konieczna jest również ocena ostrości wzroku i pola widzenia. U pacjentów z zaburzeniami świadomości lub zagrożeniem utraty wzroku konieczna jest interwencja neurochirurgiczna (z dostępu przezklinowego). U pozostałych chorych stosuje się głównie leczenie zachowawcze. Zaleca się podawanie dużych dawek glikokortykosteroidów (działanie przeciwobrzękowe i zarazem substytucja potencjalnych niedoborów), wyrównywanie zaburzeń elektrolitowych i glikemii oraz stabilizowanie czynności życiowych.11
Cukrzyca
Cukrzyca jest przewlekłą chorobą metaboliczną przebiegającą z hiperglikemią. U jej podstaw leży niedobór, nieprawidłowe działanie bądź niewrażliwość tkanek na insulinę. Obraz kliniczny determinuje typ cukrzycy, czas trwania choroby oraz rodzaj i skuteczność leczenia. W przebiegu cukrzycy dochodzi do uszkodzenia nerwów, określanego mianem neuropatii cukrzycowej. U pacjentów występują parestezje, zaburzenia czucia bólu, czucia głębokiego i wibracji oraz osłabienie odruchów. Zaburzone są także mechanizmy proprioceptywne, co prowadzi do rozluźnienia więzadeł stawowych. Skutkiem są powtarzające się mikrourazy i uszkodzenie stawów. Proces ten nasilają zaburzenia wegetatywne skutkujące miejscowo wzmożonym przepływem krwi i nasileniem osteoporozy.12 U ok. 20% pacjentów obserwuje się cechy zespołu kanału nadgarstka.13 Ostre powikłania neurologiczne w postaci zaburzeń świadomości i śpiączki związane są z patologiczną hiperglikemią bądź hipoglikemią. Kwasica ketonowa (jedno z ostrych powikłań cukrzycy) prowadzi do obrzęku mózgu, a co za tym idzie – do różnego stopnia zaburzeń świadomości.13 Obecność lokalnych deficytów neurologicznych sugeruje powikłanie w postaci infekcji, zatorowości lub krwawienia.14 U pacjentów obserwuje się pobudzenie, splątanie i senność. Z kolei u chorych z hipoglikemią pojawiają się różnorodne objawy od drżenia, splątania, zaburzeń zachowania i widzenia aż do śpiączki.1
Choroby tarczycy
Nadczynność tarczycy
Najbardziej spektakularne objawy neurologiczne towarzyszą ciężkiej nadczynności tarczycy. Obraz kliniczny przypomina nieco miastenię, dlatego funkcjonuje nawet określenie zmian mięśniowych w przebiegu nadczynności tarczycy określanych jako „miastenia tarczycowa”. Pacjenci mogą odczuwać ból i sztywność mięśni oraz skarżyć się na trudności z chodzeniem, szczególnie po schodach. W badaniu przedmiotowym zwraca uwagę drżenie drobnofaliste rąk i osłabienie siły mięśniowej oraz łatwa nużliwość mięśni. W badaniu w pozycji na wznak chory nie jest w stanie utrzymać uniesionych kończyn dolnych (objaw Lacheya). W nadczynności tarczycy dochodzi również do zmian składu ciała. Nadmiernie pobudzony jest metabolizm i nasilone procesy kataboliczne. W wyniku destrukcji tkanki mięśniowej dochodzi do zaniku mięśni, zwłaszcza obręczy barkowej, biodrowej i proksymalnych mięśni kończyn dolnych.15 Dodatkowym czynnikiem nasilającym dolegliwości w pierwszych fazach leczenia są działania niepożądane leków tyreostatycznych. U ok. 5% leczonych powodują one bóle mięśniowe.16 W badaniu neurologicznym typowe dla nadczynności tarczycy jest nasilenie odruchów ścięgnistych. U pacjentów z nadczynnością tarczycy mogą się pojawiać objawy neuropsychiatryczne, których nasilenie jest proporcjonalne do ciężkości zaburzeń hormonalnych. Nadczynności tarczycy towarzyszą drażliwość, niestabilność emocjonalna, pobudzenie i niemożność skupienia uwagi. Niepokojącym objawem sugerującym tzw. przełom tarczycowy jest odwrócenie rytmu dobowego, polegające na nadmiernej aktywności w nocy i podsypianiu w dzień. W skrajnych przypadkach ciężkiej nadczynności tarczycy u pacjentów można zaobserwować urojenia i zachowania agresywne, a w dalszej kolejności śpiączkę.17
Wrodzona niedoczynność tarczycy (WNT)
W erze przesiewowych badań TSH przeprowadzanych u noworodków w 3 dobie życia pacjenci z pełnym obrazem klinicznym wrodzonej niedoczynności tarczycy zdarzają się rzadko. Warto jednak pamiętać o niedoskonałości testu TSH jako narzędzia przesiewowego i możliwości fałszywie ujemnego wyniku. Istnieje możliwość przeoczenia niewielkiego odsetka dzieci, u których rozwiną się objawy wrodzonej niedoczynności tarczycy.18,19


