IV edycja Kongresu HPV już 12-13 czerwca! Poznaj najnowsze trendy w profilaktyce, diagnostyce i leczeniu raka szyjki macicy i innych schorzeń związanych z HPV | Sprawdź >
Radiologia
Czy odma to odma?
dr n. med. Magdalena Zagrodzka1, dr n. med. Wojciech Domaradzki2
OPIS PRZYPADKU
Jedynie żyjąc, człowiek uczy się żyć, a każdy, kto się rodzi, musi tę naukę zaczynać od ABC
Miguel de Unamuno
To ciekawe. Tak jak 50 lat temu, tak i dziś ocena zdjęcia rentgenowskiego klatki piersiowej stanowi jedno z najtrudniejszych wyzwań dla radiologa. Postęp techniki ani nam w tym nie pomógł, ani nie zwolnił nas z wykonywania zdjęć rentgenowskich klatki piersiowej w podstawowych sytuacjach klinicznych, w planowych procedurach medycznych lub ze wskazań życiowych, których przykładem jest opisywany przez nas przypadek. Kontynuując, im większy postęp naszej techniki, tym coraz trudniej o doświadczenie w ocenie badań rentgenowskich. Sytuacja jest znacznie utrudniona, gdy pacjent ma „przeszłość pulmonologiczną”, za to my nie mamy poprzednich zdjęć do porównania…
Pacjentka, lat 73, z rozpoznaną niestabilną postacią choroby wieńcowej, ciężką stenozą aortalną oraz przerostem przegrody międzykomorowej z zawężaniem drogi odpływu została przyjęta na oddział kardiochirurgii w trybie pilnym w celu leczenia operacyjnego. Z obciążeń dodatkowych występowało nadciśnienie tętnicze leczone od wielu lat, znaczna otyłość (BMI 36), przewlekła niewydolność nerek (GFR 29,07 ml/min) oraz przebyta i leczona około 30 lat temu gruźlica płuc.
Nazajutrz wykonano operację: wszczepiono żylny graft do zamkniętej prawej tętnicy wieńcowej (Ao-RCA), wycięto podzastawkowo mięsień przegrody międzykomorowej, redukując grubość przegrody o około 10 mm, oraz wycięto stenotycznie zmienioną, zwapniałą zastawkę aortalną, wszczepiając protezę biologiczną. Bezpośredni przebieg pooperacyjny był typowy.
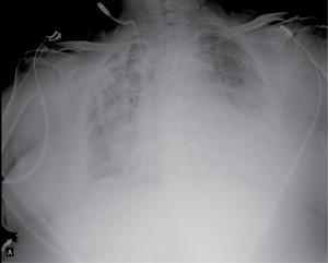
Bezpośrednio po zabiegu wykonano RTG klatki piersiowej (ryc. 1A).
1. Jakie rozpoznanie jest najbardziej prawdopodobne na podstawie zdjęcia RTG (RYC. 1A)?
a. Zapalenie płuca prawego
b. Zapalenie płuca prawego z płynem po stronie lewej
c. Odma opłucnowa płuca prawego
d. Zmiany opłucnowe po przebyciu gruźlicy w płucu prawym z płynem w lewej jamie opłucnowej
Obraz widoczny na zdjęciu wykonanym bezpośrednio po wyjeździe z sali operacyjnej na oddziale pooperacyjnym sugerował odmę prawostronną, która dyżurnemu kardiochirurgowi i anestezjologowi wydawała się na tyle istotna, że należało ją zdrenować. Jednak ze względu na bardzo znaczną otyłość pacjentki, a przy tym brak jakichkolwiek problemów z wentylacją po konsultacji z kardiochirurgiem operującym nie założono drenu.
Na zdjęciu rentgenowskim A-P widzimy tylko 50% miąższu płucnego! Jeśli chcą Państwo ocenić cały miąższ płucny, należy zlecić zawsze dwie projekcje – A-P oraz boczną.
