IV edycja Kongresu HPV już 12-13 czerwca! Poznaj najnowsze trendy w profilaktyce, diagnostyce i leczeniu raka szyjki macicy i innych schorzeń związanych z HPV | Sprawdź >
Przypadek kliniczny
Czy krwioplucie u 67-letniego mężczyzny można leczyć heparyną?
dr n. med. Maria Wieteska, prof. dr hab. med. Adam Torbicki
OPIS PRZYPADKU
67-letni mężczyzna, nieleczący się dotychczas przewlekle, został przyjęty na oddział chorób wewnętrznych rejonowego szpitala. Pacjent zgłaszał wysoką gorączkę (do 39,5°C) oraz suchy kaszel – objawy utrzymujące się od dwóch dni. W dniu przyjęcia do szpitala wystąpiło krwioplucie świeżą krwią w ilości 50 ml. Nie było ono sprowokowane wysiłkiem fizycznym, wystąpiło w pozycji siedzącej, kiedy chory oglądał telewizję. Towarzyszył mu ból w prawej połowie klatki piersiowej o charakterze kłucia, nasilający się przy oddychaniu. Od tego momentu pojawiła się duszność wysiłkowa. Mężczyzna w przeszłości palił papierosy (40 paczkolat, od 20 lat nie palił), miał obciążający wywiad rodzinny w kierunku chorób układu krążenia, w przeszłości cierpiał na chorobę wrzodową dwunastnicy, był uczulony na penicylinę.
1. Najczęstszą statystycznie przyczyną krwioplucia jest:
a. Zatorowość płucna
b. Zapalenie oskrzeli
c. Rozstrzenie oskrzeli
d. Nowotwór płuc
W badaniu przedmiotowym stan ogólny chorego oceniono jako średni, stwierdzono podwyższoną temperaturę ciała do 39,5°C, prawidłowe ciśnienie tętnicze 120/80 mmHg, przyspieszoną czynność serca do 112/min, z zachowaną prawidłową akcentacją tonów serca, przyspieszoną do 30/min częstość oddechów oraz obniżoną saturację (wysycenie hemoglobiny tlenem w pomiarze przezskórnym) do 85% podczas oddychania powietrzem atmosferycznym. Rozszerzalność oddechowa i ruchomość klatki piersiowej pacjenta były prawidłowe. Stwierdzono stłumienie odgłosu opukowego nad dolnym polem prawego płuca, a podczas osłuchiwania – trzeszczenia nad środkowym polem prawego płuca. Nie odnotowano innych nieprawidłowości w badaniu przedmiotowym. Mężczyzna ważył 90 kg, przy wzroście 174 cm.
W badaniach laboratoryjnych w morfologii poza neutrofilią nie stwierdzono innych odchyleń od normy (erytrocyty 4,87 mln/mm3, hemoglobina 14,8 g/dl, MCV 91 fl, leukocyty 8,4 tys./mm3, neutrofile 80%, limfocyty 20%, płytki 180 tys./mm3). Parametry nerkowe, wątrobowe, elektrolity, aktywność CK, CK-MB były w normie. OB wynosiło 65 mm/h, stężenie CRP 27,8 mg/dl. W koagulogramie APTT wyniosło 38,8 s, PT 15,4 s, INR 1,2, stężenie fibrynogenu 313 mg/dl, dimera D 5240 ng/ml (norma <500). Stężenie troponiny T było prawidłowe (<0,003 ng/ml). W gazometrii z krwi włośniczkowej stwierdzono: pH 7,46, PaO2 48 mmHg, pCO2 33 mmHg, HCO3– 24 mmol/l, BE 0,3 mmol/l, SaO2 86%.
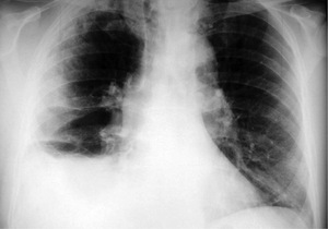
W EKG poza tachykardią i niepełnym blokiem prawej odnogi pęczka Hisa nie odnotowano innych nieprawidłowości. RTG klatki piersiowej w projekcji PA przedstawiono na rycinie 1.
2. RTG klatki piersiowej w projekcji PA (ryc. 1) przedstawia:
a) Cechy prawostronnego śródmiąższowego zapalenia płuc
b) Trójkątne zacienienie, mogące odpowiadać zawałowi płuca prawego
c) Płyn w prawej jamie opłucnowej
d) Wszystkie powyższe stwierdzenia są prawdziwe
